
Prix Détartrage Dentaire au Maroc : Guide Complet par Ville
Le prix détartrage dentaire au Maroc varie entre 200 et 1 500 dirhams selon la technique utilisée, la ville et le cabinet. Si vous cherchez à comprendre pourquoi cette fourchette est aussi large — et comment éviter les mauvaises surprises — vous êtes au bon endroit. Ce guide complet répond à toutes vos questions : tarifs réels par ville, remboursement CNSS et mutuelles, déroulement de la séance, et différence entre détartrage et blanchiment.
Table des Matières
Prix Détartrage Dentaire au Maroc (Réponse Directe)
Voici la réponse que vous cherchez, sans détour.
Prix Détartrage Moyens par Type
Le prix varie principalement selon la technique utilisée par votre dentiste. Voici les fourchettes pratiquées dans les cabinets privés marocains :
| Type de détartrage | Fourchette de prix | Durée estimée |
|---|---|---|
| Détartrage classique (manuel) | 200 – 400 DH | 20 – 30 min |
| Détartrage aux ultrasons | 300 – 600 DH | 30 – 45 min |
| Détartrage sous-gingival (tartre profond) | 500 – 900 DH | 45 – 60 min |
| Détartrage au laser | 800 – 1 500 DH | 30 – 45 min |
À noter : Ces prix sont indicatifs et reflètent les tarifs pratiqués dans les cabinets privés. Le tarif final dépend du dentiste, de la ville, et surtout de l’état de vos dents. Demandez toujours un devis détaillé avant de commencer.
Prix Détartrage par Ville au Maroc

C’est l’information que la plupart des articles ne donnent pas. Les tarifs ne sont pas les mêmes à Casablanca et à Béni Mellal. Voici une estimation réaliste basée sur les pratiques observées dans les différentes régions :
| Ville | Prix moyen estimé (ultrasons) |
|---|---|
| Casablanca | 400 – 600 DH |
| Rabat / Salé | 350 – 550 DH |
| Marrakech | 300 – 500 DH |
| Fès | 280 – 450 DH |
| Tanger | 300 – 500 DH |
| Agadir | 280 – 450 DH |
| Meknès | 250 – 400 DH |
| Oujda | 230 – 380 DH |
| Villes moyennes / zones rurales | 150 – 300 DH |
Les grandes villes — et surtout les quartiers huppés comme Maarif, Hay Riad ou Guéliz — affichent logiquement des tarifs plus élevés en raison du coût de location des locaux et du niveau d’équipement des cabinets.
Secteur Public vs. Secteur Privé : Quelle Différence de Prix ?
Beaucoup de patients marocains ne le savent pas : il existe des alternatives abordables au cabinet privé.
Dans le secteur public :
- Les CHU (Centres Hospitaliers Universitaires) de Casablanca, Rabat, Fès et Marrakech proposent des soins dentaires à des tarifs très réduits, voire gratuits pour les bénéficiaires de l’AMO Tadamoun
- Les polycliniques de la CNSS assurent des soins pour les affiliés, souvent à des tarifs réglementés
- Le traitement peut prendre plus de temps (délais d’attente plus longs) mais la qualité clinique reste supervisée par des praticiens qualifiés
Dans le secteur privé :
- Tarifs plus élevés mais délais quasi inexistants
- Équipements souvent plus modernes (ultrasons piezoélectriques, laser)
- Confort et accueil généralement meilleurs
Conseil pratique : Si votre budget est limité, renseignez-vous auprès de la polyclinique CNSS de votre région ou du CHU le plus proche avant de vous orienter vers le privé.
Pourquoi les Prix Varient Autant ? Les 5 Vraies Raisons
Face à une fourchette de 200 à 1 500 DH, beaucoup de patients pensent qu’on cherche à les arnaquer. Ce n’est généralement pas le cas. Voici les vraies raisons de cette variation.
1. La ville et le quartier Un cabinet dentaire situé dans un immeuble moderne à Anfa ou à l’Agdal supporte des charges locatives bien plus élevées qu’un cabinet en périphérie. Ces coûts se répercutent sur les tarifs.
2. L’équipement utilisé Un détartrage aux ultrasons piezoélectriques — l’équipement de référence en parodontologie — est plus précis, plus confortable et plus efficace qu’un détartrage purement manuel. Il coûte plus cher à acquérir et à entretenir, ce qui explique la différence de tarif.
3. L’expérience et la spécialisation du praticien Un médecin dentiste généraliste et un parodontiste (spécialiste des gencives) ne pratiquent pas les mêmes tarifs. Si votre cas est complexe — tartre sous-gingival abondant, poches parodontales — consulter un spécialiste est justifié.
4. L’état de vos dents Un détartrage simple sur des dents bien entretenues prend 30 minutes. Un détartrage après plusieurs années de négligence, avec du tartre durci en profondeur sous la gencive, peut nécessiter plusieurs séances et donc un coût plus élevé.
5. Ce qui est inclus dans le prix Certains cabinets incluent le polissage (élimination des taches superficielles) et l’application de fluor dans leur tarif de base. D’autres les facturent séparément, ce qui peut ajouter 100 à 200 DH. Posez toujours la question avant de commencer : « Le polissage est-il inclus dans ce tarif ? »
Détartrage ou Blanchiment ? Ne Confondez Pas Ces Deux Soins

C’est la confusion la plus fréquente chez les patients marocains. Beaucoup arrivent en cabinet en demandant un « blanchiment » alors qu’ils ont besoin d’un détartrage — et vice versa. Ces deux soins sont fondamentalement différents.
Ce que Fait le Détartrage
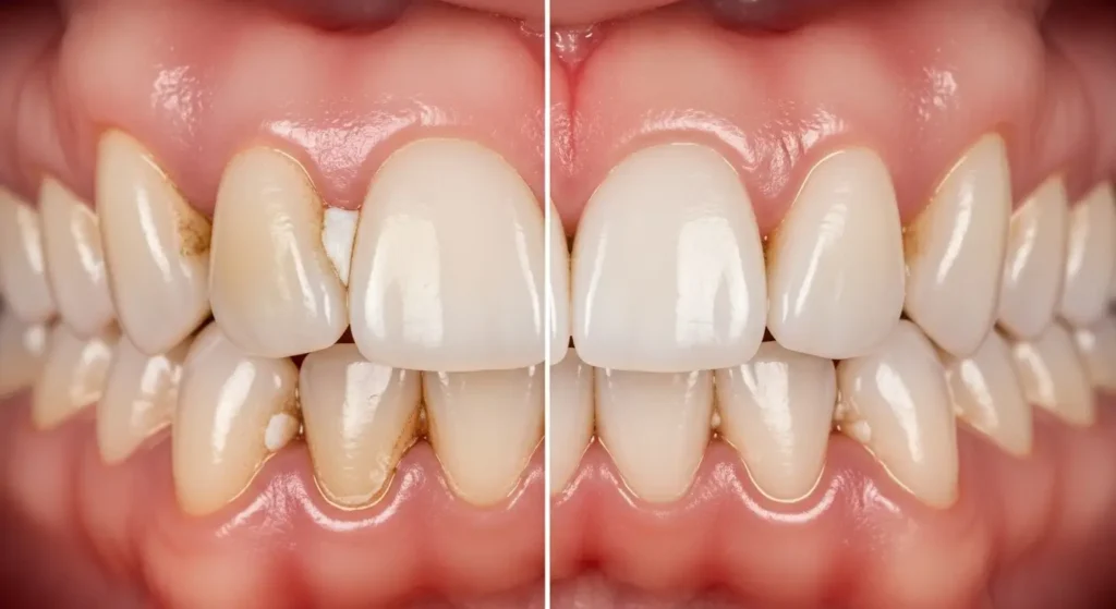
Le détartrage est un soin médical préventif. Il consiste à éliminer le tartre (plaque minéralisée) et la plaque bactérienne qui s’accumulent sur vos dents et sous vos gencives. Son objectif est de préserver la santé de vos gencives et d’empêcher les maladies parodontales.
Résultat visible : des dents plus propres et des gencives moins enflammées. Mais si vos dents sont naturellement jaunes ou tachées en profondeur, le détartrage seul ne les blanchira pas.
Ce que Fait le Blanchiment
Le blanchiment dentaire est un soin esthétique. Il utilise des agents chimiques (généralement du peroxyde d’hydrogène) pour modifier la teinte de l’émail et éclaircir les dents. Il ne traite pas les gencives et ne remplace pas un détartrage.
Son prix est très différent : entre 800 et 3 000 DH selon la technique (blanchiment en cabinet avec lampe LED, gouttières à domicile, ou combinaison des deux).
Comparaison Rapide
| Critère | Détartrage | Blanchiment |
|---|---|---|
| Objectif | Santé des gencives | Esthétique (couleur) |
| Prix moyen | 300 – 600 DH | 800 – 3 000 DH |
| Remboursable AMO/mutuelle | Partiellement oui | Non (soin esthétique) |
| Fréquence recommandée | Tous les 6 mois | 1 à 2 fois par an max |
| Résultat | Dents propres, gencives saines | Dents plus claires |
| Indolore | Généralement oui | Peut causer sensibilités |
Conseil important : Les dentistes recommandent de toujours faire un détartrage avant un blanchiment. Un blanchiment réalisé sur des dents avec du tartre donne des résultats irréguliers. Les deux soins se complètent, mais le détartrage passe en premier.
Est-ce Remboursé ? CNSS, AMO et Mutuelles au Maroc
C’est la question la moins bien répondue sur internet — et pourtant l’une des plus importantes pour les patients marocains. Voici ce que vous devez savoir.
Remboursement via l’AMO (CNSS)
L’Assurance Maladie Obligatoire (AMO) gérée par la CNSS couvre une partie des soins dentaires pour les salariés du secteur privé et leurs ayants droit. Le détartrage peut être pris en charge comme acte préventif, sous conditions.
Pour bénéficier d’un remboursement :
- Assurez-vous que votre dentiste est conventionné AMO
- Demandez-lui de remplir une feuille de soins avec le code de l’acte
- Soumettez le dossier à votre agence CNSS dans les délais requis
- Le taux de remboursement varie selon votre contrat — renseignez-vous auprès de votre agence avant votre rendez-vous
Attention : Tous les cabinets dentaires privés ne sont pas conventionnés AMO. Vérifiez ce point par téléphone avant de prendre rendez-vous si le remboursement est important pour vous.
Remboursement via les Mutuelles Privées
Les mutuelles complémentaires couvrent souvent mieux les soins dentaires que l’AMO seule. Parmi les principales mutuelles actives au Maroc :
- AXA Assurance Maroc — couverture dentaire variable selon le contrat
- Saham / Sanlam — remboursement possible entre 50 % et 80 % selon les garanties souscrites
- Atlanta Assurance — couverture soins préventifs incluse dans certains contrats
- MAMDA / MCMA — pour les affiliés du secteur agricole et assimilés
- RMA (Royal & Sun Alliance) — remboursement dentaire sur présentation de justificatifs
Conseil pratique : Appelez votre mutuelle avant votre rendez-vous. Posez ces deux questions précises : « Le détartrage est-il couvert par mon contrat ? » et « Quel est le plafond de remboursement annuel pour les soins dentaires ? »
Sans Assurance : Les Options Abordables
Si vous n’avez pas de couverture, vous n’êtes pas sans recours :
- CHU universitaires : Casablanca (Ibn Rochd), Rabat (Averroès), Fès (Hassan II), Marrakech (Mohamed VI) — soins à tarifs réduits, encadrés par des professeurs et assistants en médecine dentaire
- Polycliniques CNSS affiliées dans les principales villes
- Cabinets en périphérie des grandes villes : tarifs sensiblement inférieurs à ceux du centre-ville
- Facultés de médecine dentaire : les soins réalisés par des étudiants supervisés sont très accessibles financièrement
Ce qui Se Passe Pendant un Détartrage : Étape par Étape

Beaucoup de patients évitent le détartrage par peur de l’inconnu. Voici exactement ce qui se passe lors d’une séance standard, de l’arrivée au cabinet jusqu’à la sortie.
Avant la Séance
Aucune préparation particulière n’est nécessaire. Brossez vos dents normalement le matin de votre rendez-vous. En revanche, informez votre dentiste si vous :
- Prenez des anticoagulants ou des médicaments qui augmentent le risque de saignement
- Êtes enceinte
- Avez des antécédents de maladies cardiaques valvulaires (une antibioprophylaxie peut être nécessaire)
- Avez des dents particulièrement sensibles
Ces informations permettent au praticien d’adapter sa technique et d’assurer votre sécurité.
Pendant la Séance (30 à 45 Minutes)
La séance se déroule en quatre étapes :
- Examen buccal initial (5 à 10 min) — Le dentiste inspecte l’état de vos dents, de vos gencives et évalue la quantité de tartre présente. Il peut réaliser une radiographie panoramique si nécessaire, surtout s’il suspecte du tartre sous-gingival profond.
- Détartrage aux ultrasons (15 à 20 min) — Un appareil piezoélectrique produit des micro-vibrations qui décollent le tartre de la surface des dents. Vous entendrez un bruit de sifflement léger et sentirez un jet d’eau froide — c’est normal. Ce n’est pas douloureux pour la grande majorité des patients.
- Détartrage manuel pour les zones difficiles (5 à 10 min) — Le dentiste utilise des curettes (instruments fins et recourbés) pour atteindre les zones que l’ultrason n’a pas pu traiter complètement, notamment entre les dents et sous la gencive.
- Polissage final — Un instrument rotatif avec une pâte abrasive légère élimine les taches superficielles (café, thé, tabac) et laisse les dents lisses — ce qui réduit la réadherence future de la plaque.
Après la Séance
Voici ce que vous pouvez attendre après votre détartrage :
- Une légère sensibilité des dents au chaud et au froid pendant 24 à 48 heures — c’est normal et temporaire
- Des gencives légèrement sensibles si elles étaient enflammées — elles récupèrent en quelques jours
- Évitez pendant 2 heures : café, thé, tabac, aliments très colorés (pour ne pas retacher les dents juste après le polissage)
- Reprenez votre brossage normal dès le soir — ne soyez pas trop doux, vos dents ne sont pas fragilisées
- Aucun arrêt de travail ni repos particulier n’est nécessaire
Le Détartrage Fait-il Mal ? La Question que Tout le Monde Se Pose

C’est la première crainte des patients — et souvent la raison pour laquelle ils repoussent leur rendez-vous pendant des années. Voici la réponse sans embellissement.
Dans la grande majorité des cas, non, le détartrage ne fait pas mal. Vous pouvez ressentir une sensation de pression, d’eau froide, et entendre le bruit de l’appareil — mais pas de douleur franche.
Cela dit, une sensibilité est possible dans certains cas :
- Si vos gencives sont très enflammées : elles sont plus réactives au toucher. La douleur ressentie vient en réalité de l’inflammation causée par le tartre lui-même, pas de l’instrument
- Si vous avez des dents sensibles avec déchaussement (récession gingivale), les zones radiculaires exposées peuvent réagir au jet d’eau froide
Ce que vous pouvez faire :
- Demandez à votre dentiste d’appliquer un gel anesthésiant local sur les gencives avant de commencer — c’est une pratique courante et totalement sûre
- Signalez tout inconfort pendant la séance, le praticien peut adapter sa pression
Un point important à retenir : les patients qui ressentent le plus de sensibilité sont souvent ceux qui ont le plus attendu avant de consulter. Un détartrage régulier tous les 6 mois est bien plus confortable qu’un détartrage après 3 ans d’accumulation.
À Quelle Fréquence Faire un Détartrage au Maroc ?
La Règle Générale : Tous les 6 Mois
La Fédération Dentaire Internationale (FDI) et l’ordre des médecins dentistes recommandent un détartrage professionnel tous les 6 mois pour un adulte en bonne santé bucco-dentaire. Cette fréquence permet de contrôler l’accumulation de tartre avant qu’il ne se minéralise et ne devienne difficile à éliminer.
En pratique au Maroc, beaucoup de patients consultent une fois par an — voire tous les deux ou trois ans. Cette habitude augmente le coût de chaque séance (plus de tartre = plus de travail) et surtout les risques pour la santé des gencives.
Cas Particuliers : Tous les 3 à 4 Mois
Certaines personnes accumulent le tartre plus rapidement et ont besoin d’un suivi plus serré. C’est le cas pour :
- Les fumeurs : le tabac favorise l’accumulation de tartre coloré et les maladies parodontales. Un suivi trimestriel est recommandé
- Les diabétiques : le diabète mal contrôlé augmente le risque d’infections gingivales sévères. La parodontite aggrave elle-même l’équilibre glycémique — un cercle vicieux qu’un détartrage régulier aide à briser
- Les femmes enceintes : les changements hormonaux de la grossesse rendent les gencives plus réactives à la plaque bactérienne. Une gingivite gravidique non traitée peut avoir des conséquences sur le déroulement de la grossesse selon certaines études
- Les patients avec antécédents de parodontite : une fois la maladie parodontale installée, un contrôle tous les 3 mois est souvent prescrit pour maintenir les résultats du traitement
Signes que Vous Avez Besoin d’un Détartrage Maintenant
Ne remettez pas à demain si vous observez un ou plusieurs de ces signes :
- Saignement des gencives lors du brossage ou de la consommation d’aliments durs
- Mauvaise haleine persistante malgré un brossage régulier
- Dépôts jaunâtres ou brunâtres visibles sur les dents, notamment derrière les incisives inférieures
- Sensation de dents « rugueuses » au toucher de la langue
- Gencives rouges, gonflées ou qui semblent se rétracter
- Dents qui paraissent « bouger » légèrement
Consultez rapidement si vous présentez ces symptômes. Les deux derniers signes en particulier — rétraction gingivale et mobilité dentaire — peuvent indiquer une parodontite débutante qui nécessite une prise en charge spécialisée au-delà du simple détartrage.
Maroc vs. Europe : Combien Économisez-Vous ?

Pour les Marocains résidant en France, en Espagne, en Belgique ou en Italie, les soins dentaires au Maroc représentent une économie substantielle — même en tenant compte des frais de déplacement lors d’un séjour au pays.
Comparaison des Prix
| Pays | Prix Détartrage moyen | Équivalent en DH | Économie réalisée au Maroc |
|---|---|---|---|
| France | 60 – 80 € | 650 – 860 DH | Jusqu’à 70 % |
| Espagne | 50 – 70 € | 540 – 760 DH | Jusqu’à 60 % |
| Belgique | 60 – 90 € | 650 – 970 DH | Jusqu’à 70 % |
| Italie | 60 – 100 € | 650 – 1 080 DH | Jusqu’à 65 % |
| Maroc (privé) | — | 300 – 600 DH | — |
Conseils pour les MRE qui Planifient Leurs Soins au Maroc
Si vous profitez de votre séjour au Maroc pour vous faire soigner, voici comment optimiser votre visite :
- Réservez avant d’arriver : les bons cabinets ont souvent des agendas chargés en période estivale et pendant les fêtes
- Regroupez plusieurs soins sur le même séjour pour maximiser les économies — détartrage, blanchiment, couronne, implant
- Vérifiez que le cabinet peut vous fournir un compte-rendu de soins et des radiographies à emporter, utiles pour votre dentiste en Europe
- La qualité des soins dentaires marocains est fiable : les médecins dentistes marocains sont formés dans des facultés accréditées (Casablanca, Rabat, Fès, Marrakech), selon des standards comparables aux formations européennes
Que Risquez-Vous si Vous Ne Faites Pas de Détartrage ?
Certains patients pensent que le détartrage est un luxe ou un soin facultatif. Ce n’est pas le cas. Voici ce que la littérature médicale et la pratique clinique montrent clairement.
À court terme : La plaque bactérienne non éliminée provoque une gingivite — inflammation des gencives qui saignent, gonflent et deviennent douloureuses. Ce stade est réversible avec un détartrage.
À moyen terme : Si la gingivite n’est pas traitée, elle évolue en parodontite — une infection qui attaque non seulement la gencive mais aussi l’os alvéolaire qui maintient vos dents en place. À ce stade, un simple détartrage ne suffit plus : il faut un surfaçage radiculaire (détartrage sous-gingival profond), voire une chirurgie parodontale.
À long terme : La parodontite avancée conduit à la perte de dents. Le remplacement d’une dent perdue coûte entre 3 000 et 15 000 DH par dent (bridge ou implant). Un détartrage à 400 DH deux fois par an est clairement l’investissement préventif le plus rentable qui soit.
Par ailleurs, des études publiées dans le Journal of Periodontology établissent un lien entre les maladies parodontales et des pathologies systémiques — notamment les maladies cardiovasculaires, le diabète et certaines complications de la grossesse. La santé bucco-dentaire n’est pas isolée du reste de l’organisme.
FAQ : Vos Questions sur le Prix Détartrage au Maroc
Quel est le Prix Détartrage dentaire moyen au Maroc ?
Le Prix Détartrage est Entre 300 et 600 DH pour un détartrage standard aux ultrasons dans un cabinet privé. Les tarifs peuvent descendre à 150–200 DH dans les structures publiques ou les villes moyennes, et monter jusqu’à 1 500 DH pour un traitement au laser. Le prix varie aussi selon si le polissage est inclus.
Le polissage est-il inclus dans le prix détartrage ?
Souvent oui dans les cabinets privés, mais ce n’est pas systématique. Certains dentistes facturent le polissage séparément (100 à 200 DH supplémentaires). Posez la question avant de commencer pour éviter toute surprise sur la facture finale.
La CNSS rembourse-t-elle le détartrage ?
L’AMO via la CNSS peut couvrir une partie du coût si votre dentiste est conventionné. Demandez-lui de remplir une feuille de soins avec le code de l’acte, et soumettez le dossier à votre agence CNSS. Le taux de remboursement dépend de votre contrat — renseignez-vous à l’avance.
Combien de temps dure un détartrage ?
Entre 30 et 45 minutes pour une bouche entière avec un détartrage aux ultrasons suivi d’un polissage. La séance peut durer jusqu’à 60 minutes si le tartre est abondant ou s’il nécessite un traitement sous-gingival.
Le détartrage abîme-t-il l’émail des dents ?
Non. C’est une idée reçue très répandue au Maroc, mais médicalement infondée. Les ultrasons et les instruments de détartrage ciblent uniquement le tartre sans toucher l’émail sain. C’est au contraire l’accumulation de tartre non éliminée qui fragilise les dents et les gencives sur le long terme.
Peut-on faire un détartrage pendant la grossesse ?
Oui, et c’est même recommandé. Les femmes enceintes sont plus exposées à la gingivite gravidique en raison des changements hormonaux. Un détartrage pendant le deuxième trimestre est considéré comme sûr et conseillé par les professionnels de santé. Informez simplement votre dentiste de votre grossesse.
Détartrage ou blanchiment : lequel faire en premier ?
Toujours le détartrage en premier. Il prépare les dents en éliminant le tartre et la plaque, ce qui permet au produit blanchissant de se diffuser de manière uniforme sur l’émail. Un blanchiment réalisé sur des dents avec du tartre donne des résultats inégaux et décevants.
Pourquoi mes dents semblent plus espacées après un détartrage ?
C’est une illusion optique très courante et parfaitement normale. Le tartre accumulé entre les dents comblait visuellement les espaces interdentaires. Une fois éliminé, les espaces naturels réapparaissent — ils existaient avant, mais étaient masqués. Cela disparaît de votre perception en quelques jours.
Prochaines Étapes : Ce que Vous Devez Faire Maintenant
Vous avez maintenant toutes les informations pour prendre une décision éclairée. Voici comment passer à l’action :
Si vous n’avez pas fait de détartrage depuis plus d’un an : Prenez rendez-vous dès cette semaine. Plus vous attendez, plus le tartre se minéralise et plus la séance sera longue et coûteuse.
Avant votre rendez-vous, demandez à votre dentiste :
- Le polissage est-il inclus dans le tarif ?
- Êtes-vous conventionné AMO / CNSS ?
- Y a-t-il du tartre sous-gingival nécessitant un traitement spécifique ?
- Quelle est la fréquence recommandée pour mon cas particulier ?
Si vous avez une mutuelle ou l’AMO : Appelez votre assureur avant votre rendez-vous pour connaître votre couverture et préparez votre carte d’assuré. Demandez la feuille de soins au dentiste avant de quitter le cabinet.
Si vous présentez des signes de parodontite (mobilité dentaire, gencives qui se rétractent, douleur persistante) : n’attendez pas. Demandez une consultation chez un parodontiste — le détartrage seul ne sera pas suffisant et un diagnostic spécialisé est nécessaire.
Un détartrage régulier reste l’un des gestes préventifs les plus simples, les plus accessibles et les plus efficaces pour préserver votre santé bucco-dentaire sur le long terme. Le coût d’une séance est sans commune mesure avec celui d’un implant ou d’une prothèse rendu nécessaire par des années de négligence.

Comments
1
[…] Détartrage (scaling) […]