




Bienvenue chez Centre Dentaire Sweet Smile, votre cabinet dentaire d’excellence situé au cœur de Rabat, dans le prestigieux quartier Hassan. Depuis notre ouverture, nous nous sommes donnés pour mission de révolutionner l’expérience dentaire au Maroc en combinant expertise médicale de pointe, technologies modernes et approche humaine centrée sur le bien-être de nos patients.
Chez Sweet Smile Dentaire, nous croyons fermement que la santé bucco-dentaire est un élément essentiel de votre santé et votre bien-être général. Notre vision va au-delà du simple traitement dentaire : nous aspirons à sensibiliser nos patients à l’importance de la prévention et du diagnostic précoce pour éviter les complications futures.
Notre cabinet est dirigé par Dr. ELYAAGOUBI Salah Eddine, dentiste reconnu et apprécié pour son professionnalisme, son expertise technique et surtout son approche empathique. Assisté d’une équipe dévouée comprenant Dr. Ghita et notre personnel accueillant (Bouchra et Hiba), nous créons une atmosphère chaleureuse où chaque patient se sent comme chez lui.
Avec une note exceptionnelle de 4,6/5 étoiles sur Google basée sur plus de 230 avis vérifiés, nos patients témoignent régulièrement de :
Retrouvez un sourire éclatant grâce à nos solutions esthétiques avancées : facettes dentaires, reconstruction esthétique et harmonisation du sourire.
Correction des malpositions dentaires avec :
La technologie révolutionnaire des gouttières transparentes pour redresser vos dents sans gêne esthétique ni inconfort.
Remplacement permanent des dents manquantes avec des implants dentaires de dernière génération pour un résultat naturel et durable.
Traitement spécialisé des gencives et de l’os alvéolaire pour préserver la santé de vos tissus de soutien.
Soins dentaires spécifiquement adaptés aux enfants dans une ambiance ludique et rassurante pour créer une expérience positive dès le plus jeune âge.
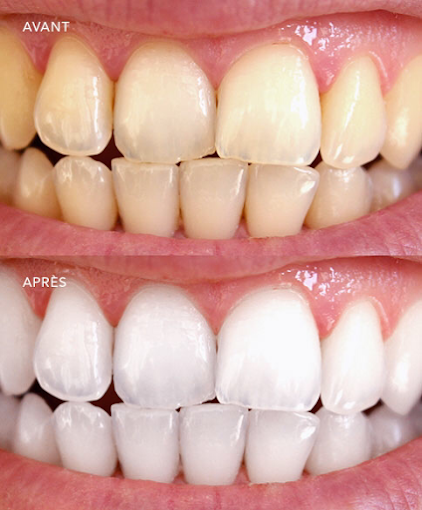
Retrouvez un sourire éclatant de blancheur grâce à nos techniques de blanchiment sûres et efficaces.
Interventions chirurgicales réalisées dans les meilleures conditions de sécurité et d’hygiène.
Nous comprenons que les soins dentaires représentent un investissement. C’est pourquoi nous proposons des solutions de paiement flexibles et accessibles pour rendre les soins de qualité disponibles à tous.
Disponible au 06 61 31 35 38 pour toute urgence dentaire, parce que votre douleur ne peut pas attendre.
Idéalement situé au 38, Avenue Chellah, Résidence Riad Hassan B, Appartement n°4 dans le quartier Hassan de Rabat, notre cabinet est facilement accessible :
Suivez-nous sur nos réseaux sociaux pour des conseils dentaires, des actualités et des promotions exclusives :